Recupero dei denti naturali senza ricorrere agli impianti
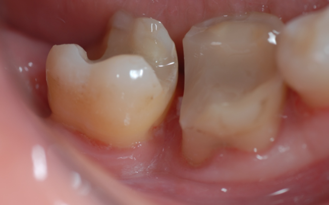
Paziente di 30 anni con otturazioni molto estese e infiltrate da carie sottogengivali

Rimosso il vecchio restauro in amalgama d’argento è stato necessario devitalizzare (trattamento endodontico) il molare. Per poter restaurare il dente correttamente è stato necessario un intervento chirurgico. Ciò permetterà alla paziente di eseguire le corrette manovre di igiene orale quotidiana che è il fondamento per il mantenimento a lungo termine.

Situazione a tre mesi dall’intervento gengivale prima di eseguire restauri indiretti (intarsi) in ceramica integrale

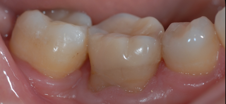
RISULTATO
I due molari sono stati recuperati alla funzione masticatoria ed estetica con restauri indiretti (intarsi) in ceramica integrale

È vietata la redistribuzione e la pubblicazione di contenuti e immagini non autorizzata espressamente dall’autore.