Casi Clinici
Siamo lieti di presentarvi alcuni dei casi clinici realizzati dal nostro team Orange coordinato dal Dr. Lucio Della Toffola.
Ogni caso ci rappresenta per il nostro impegno, l’attenzione per i dettagli e la cura personalizzata che dedichiamo a ogni paziente.
Scoprite come trasformiamo i sorrisi grazie alla competenza e alla passione del team Orange.
Il dr. Lucio Della Toffola ringrazia tutti i suoi collaboratori, perché solo con un team competente e preparato è stato possibile ottenere questi risultati che hanno reso i sorrisi dei nostri pazienti più sani e più belli.
Vai alla categoria di caso clinico:
Casi complessi / Casi estetici / Malattia parodontale / Recupero di denti naturali / Impianti dentali / Rimozione amalgama / Casi ortodontici
Casi complessi
Casi estetici
Malattia parodontale
Recupero di denti naturali
Impianti dentali
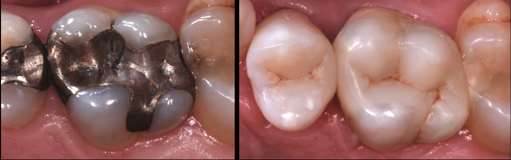
Rimozione amalgama
Casi ortodontici
È vietata la redistribuzione e la pubblicazione di contenuti e immagini non autorizzata espressamente dall’autore.